Dott. Antonio Corti - Chirurgo plastico e medico estetico
  • Home
  • Servizi
    • Rinoplastica estetico/funzionale
    • Settoplastica ricostruttiva
    • Rinologia
    • Rinomanometria
  • Chi sono
  • Foto prima/dopo
  • Media
    • Storia di un intervento
    • Consenso informato
    • Rassegna Stampa
  • Contatti

Storia di un intervento

  • Home
  • Storia di un intervento
Rinoplastica prima/dopo vista frontale

Motivazione e desideri

Rinoplastica prima/dopo vista frontale

Visita sulle funzionalità

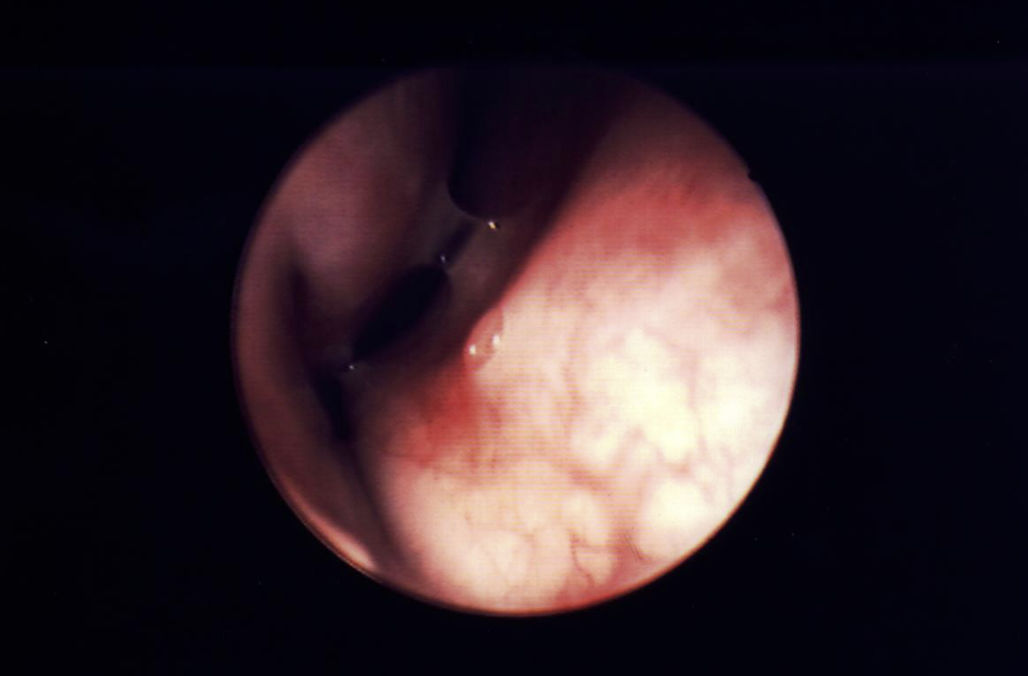
Rinoplastica prima/dopo vista frontale

Endoscopia nasale

Rinoplastica prima/dopo vista frontale

Rinomanometria

Rinoplastica prima/dopo vista frontale

Immagine originale

Rinoplastica prima/dopo vista frontale

Immagine modificata

Rinoplastica prima/dopo vista frontale

Immagine profilo originale

Rinoplastica prima/dopo vista frontale

Immagine profilo modificata

Rinoplastica prima/dopo vista frontale

Programma chirurgico

Rinoplastica prima/dopo vista frontale

Consenso informato

Rinoplastica prima/dopo vista frontale

1a medicazione

Rinoplastica prima/dopo vista frontale

2a medicazione

Rinoplastica prima/dopo vista frontale

Prima e dopo frontale

Rinoplastica prima/dopo vista frontale

Prima e dopo laterale

Rinoplastica prima/dopo vista frontale

Prima e dopo semi frontale

Rinoplastica prima/dopo vista frontale

Prima e dopo vista dal basso

Rinoplastica prima/dopo vista frontale

Prima e dopo trittico frontale

Rinoplastica prima/dopo vista frontale

Prima e dopo trittico profilo

Richiedi informazioni

Contatta il Dr. Antonio Corti per informazioni sulla rinoplastica

Contatta al telefono

 02.34.90.283

Dal Lunedì Al Venerdì 9:00-13:00 e 15:00-19:00
Resta in contatto
DOTT. ANTONIO CORTI

Otorinolaringoiatra
p.i. 02758290155

Ordine provinciale dei Medici chirurghi e degli odontoiatri di Milano n* 14722

  • 02.34.90.283

  • 347.688.45.15

  • studiodottorcorti@gmail.com

LE MIE SEDI
  • MILANO
    STUDIO MEDICO
    Via Giovanni Battista Pirelli, 26
    20124 Milano MI

APPROFONDIMENTI
  • Rinoplastica
  • Rinologia
  • Settoplastica ricostruttiva

Richiedi informazioni

  • Privacy
  • Cookie policy

Chiedi informazioni
3476884515
Chiama

WhatsApp

Richiedi Informazioni